
Artroza genunchiului (Gonartroza)
Artroza este inflamația uneia sau mai multor articulații. Durerea, umflarea și rigiditatea sunt simptomele principale ale artrozei. Orice articulație din corp poate fi afectată de această boală, însă este deosebit de frecventă la nivelul genunchiului.
Artroza este inflamația uneia sau mai multor articulații. Durerea, umflarea și rigiditatea sunt simptomele principale ale artrozei. Orice articulație din corp poate fi afectată de această boală, însă este deosebit de frecventă la nivelul genunchiului.
Artroza genunchiului poate face dificilă desfășurarea multor activități cotidiene, cum ar fi mersul pe jos sau urcatul scărilor. Este o cauză majoră de absenteism de la muncă și dizabilitate severă pentru multe persoane.
Cele mai frecvente tipuri de artroză sunt artroza degenerativă (osteoartroza) și artroza inflamatorie (ex. artrita reumatoidă), însă există peste 100 de forme diferite. Deși artroza afectează în principal adulții, unele forme pot afecta și copiii.
Deși nu există un tratament curativ pentru artroză, există multe opțiuni de tratament disponibile pentru a gestiona durerea și a ajuta pacienții să rămână activi.
Anatomie
Genunchiul este cea mai mare și mai puternică articulație din corp. Este alcătuit din:
- Extremitatea inferioară a femurului (osul coapsei)
- Extremitatea superioară a tibiei (osul tibiei)
- Rotula (patela)
Capetele celor trei oase care formează articulația genunchiului sunt acoperite cu cartilaj articular, o substanță netedă și alunecoasă care protejează și amortizează oasele în timpul flexiei și extensiei genunchiului.
Două bucăți în formă de pană de cartilaj, numite meniscuri, acționează ca „amortizoare” între femur și tibie. Acestea sunt dure și elastice, ajutând la amortizarea articulației și la menținerea stabilității.
Articulația genunchiului este înconjurată de o membrană subțire numită membrană sinovială. Aceasta eliberează un lichid care lubrifiază cartilajul și reduce frecarea.
Descriere
Principalele tipuri de artroză care afectează genunchiul sunt: artroza degenerativă (osteoartroza), artroza reumatoidă și artroza posttraumatică.
Artroza degenerativă (Osteoartroza)
Este cea mai frecventă formă de artroză a genunchiului. Este o afecțiune degenerativă, de uzură, care apare cel mai adesea la persoanele de peste 50 de ani, deși poate apărea și la persoane mai tinere.
În această formă de artroză, cartilajul din articulația genunchiului se degradează treptat. Pe măsură ce se tocește, devine aspru și deteriorat, iar spațiul de protecție dintre oase se reduce. Acest lucru poate duce la frecarea os pe os și la apariția osteofitelor (ciocuri osoase).
Artroza degenerativă se dezvoltă, de obicei, lent, iar durerea se agravează în timp.
Artroza reumatoidă
Este o boală cronică care afectează mai multe articulații din corp, inclusiv genunchiul. Este simetrică, ceea ce înseamnă că afectează de obicei aceleași articulații pe ambele părți ale corpului.
În această formă, membrana sinovială care acoperă articulația genunchiului începe să se inflameze. Acest lucru duce la durere și rigiditate.
Artroza reumatoidă este o boală autoimună — sistemul imunitar atacă propriile țesuturi, afectând cartilajul, ligamentele și chiar osul.
Artroza posttraumatică
Este o formă care se dezvoltă după o leziune la genunchi. De exemplu, o fractură poate deteriora suprafața articulară și poate duce la apariția artrozei după câțiva ani. Leziunile de menisc sau ligamente pot cauza instabilitate și uzură suplimentară, ducând în timp la artroză.
Simptome
Un genunchi afectat de artroză poate fi dureros și inflamat. De obicei, durerea se dezvoltă treptat, dar poate apărea și brusc. Alte simptome includ:
- Articulația poate deveni rigidă și umflată, făcând dificilă flexia sau extensia genunchiului.
- Durerea și inflamația pot fi mai intense dimineața sau după perioade de repaus.
- Activitățile solicitante pot accentua durerea.
- Fragmente de cartilaj sau alte țesuturi pot împiedica mișcarea lină a genunchiului — acesta se poate bloca sau trosni.
- Durerea poate provoca senzația de slăbiciune sau instabilitate.
- Mulți pacienți observă agravarea durerii odată cu schimbările meteorologice.
Consultația medicală
În timpul consultației, medicul va discuta despre simptome și istoricul medical, va efectua un examen fizic și, eventual, va solicita investigații precum radiografii sau analize de sânge.
Examen fizic
Medicul va verifica:
- Inflamația, căldura sau roșeața articulației
- Sensibilitatea din jurul genunchiului
- Mișcarea pasivă și activă
- Stabilitatea articulației
- Crepitații (sunete de frecare) în timpul mișcării
- Durerea la susținerea greutății pe genunchi
- Probleme în mers (mers șchiopătat)
- Implicarea altor articulații (sugerează artroză reumatoidă)

Investigații imagistice
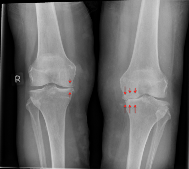
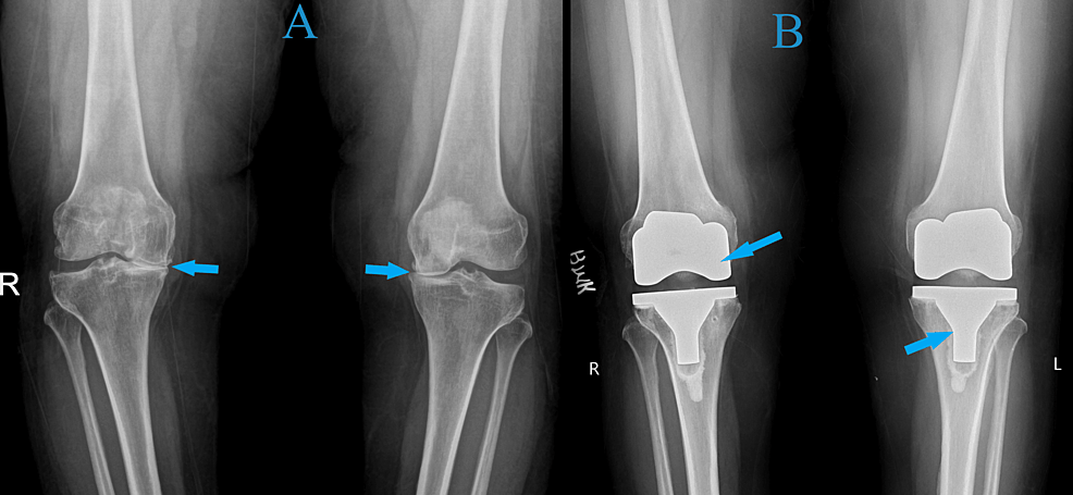
- Radiografia oferă imagini detaliate ale oaselor și poate evidenția îngustarea spațiului articular, modificări osoase și osteofite.
- RMN sau CT pot fi necesare pentru evaluarea țesuturilor moi sau a leziunilor mai fine.
Analize de laborator
Analizele de sânge pot ajuta la determinarea tipului de artroză. În formele inflamatorii (cum e cea reumatoidă), acestea sunt utile în diagnostic.
Tratament
Deși artroza nu se vindecă, există tratamente care pot reduce durerea și dizabilitatea.
Tratament nechirurgical
- Modificări ale stilului de viață: evitarea activităților solicitante, exerciții fizice cu impact redus (înot, ciclism), pierdere în greutate.
- Fizioterapie: exerciții personalizate pentru flexibilitate, mobilitate și întărirea musculaturii.
- Dispozitive ajutătoare: baston, orteze de genunchi (de descărcare sau de susținere).
- Alte metode: aplicare de gheață sau căldură, bandaje elastice.
- Medicamente:
- Analgezice fără rețetă (acetaminofen, ibuprofen, naproxen)
- Antiinflamatoare nesteroidiene (NSAID) orale sau topice
- Inhibitori COX-2 (celecoxib, meloxicam)
- Evitarea narcoticelor (opioidelor)
- Injecții cu corticosteroizi
- DMARD (pentru formele inflamatorii): metotrexat, sulfasalazină, hidroxiclorochină, biologice precum etanercept, adalimumab
- Suplimente (glucozamină, condroitină) – eficacitate nedovedită
- Terapii alternative: acupunctură, terapie cu impulsuri magnetice, PRP, celule stem
Tratament chirurgical
Dacă tratamentele nechirurgicale nu sunt eficiente, se pot recomanda intervenții chirurgicale:
- Artroscopie: utilă mai ales pentru rupturi meniscale asociate cu artroză
- Grefare de cartilaj: pentru zone mici de leziune, mai ales la pacienți tineri
- Sinovectomie: îndepărtarea membranei sinoviale afectate de artroza reumatoidă
- Osteotomie: realinierea femurului sau tibiei pentru a redistribui greutatea
- Proteza totală sau parțială de genunchi: înlocuirea suprafețelor articulare deteriorate


Recuperare
După orice intervenție chirurgicală, urmează o perioadă de recuperare și reabilitare, cu kinetoterapie, orteze, baston sau cârje. De regulă, operațiile reduc durerea și îmbunătățesc funcția genunchiului.
