
Chirurgia antepiciorului – Hallux Valgus
Hallux Valgus, cunoscut popular ca „monturi”, reprezintă deformarea degetului mare al piciorului, cu deviația acestuia spre celelalte degete. Deformarea afectează articulația metatarso-falangiană și poate deveni dureroasă și invalidantă în timp.
Chirurgia antepiciorului, hallux valgus (monturi), are ca scop corecția diformității piciorului – cauzată de deviația primului metatarsian, osul degetului mare, al cărui cap devine proeminent prin deplasare medială (spre interior). Chirurgia antepiciorului, hallux valgus (monturi), reface arhitectura corectă a articulației metatarsofalangiene 1 a piciorului și înlătură durerile asociate proeminențelor osoase, numite monturi.
Tratamentele pentru hallux valgus (monturi) tratează deplasarea primului metatarsian, ca afecțiune inestetică și dureroasă la nivelul halucelui (degetul mare de la picior), în special în timpul mersului. Afecțiunea este cunoscută sub numele de ”mont” și poate apărea la toate vârstele, femeile fiind mai predispuse decât bărbații. Monturile pot evolua în timp, astfel încât să cauzeze și deformarea progresivă a celorlalte degete.
Ce este montul (hallux valgus)
Montul (hallux valgus) este osul primului metatarsian – cu aspect proeminent și deviat spre interior. Montul (hallux valgus) reprezintă o afecțiune a articulației metatarsofalangiene 1 a piciorului, în care baza degetului mare de la picior, numit haluce, este deplasată medial, cauzând o proeminență osoasă traumatică (exostoză). Montul exercită presiune pe haluce să se deplaseze spre celelalte degete, deformându-le.
Monturile sunt incomode și dureroase în mers, în special la purtatul de încălțăminte nepotrivită. Deși monturile pot apărea la orice vârstă, datele medicale ne relevă predispoziția apariției acestora la persoanele adulte. Accentuarea progresivă a diformității degetelor laterale, cauzată de devierea în valgus (în afară) a degetului mare, va agrava aspectul inestetic al antepiciorului.
Cauzele principale pentru mont (hallux valgus)
Cauzele principale pentru mont (hallux valgus) nu sunt pe deplin cunoscute, însă antecedentele familiale indică o predispoziție prin factorul ereditar. Contrar convingerilor populare, monturile nu sunt cauzate de încălțămintea de proastă calitate sau incomodă (strâmtă și cu tocuri), dar totuși – există o corelație directă între aceasta și agravarea deformării degetelor 2-5, cu afectarea mobilității articulațiilor interfalangiene.
Printre factorii favorizanți apariției monturilor se enumeră:
- Predispoziție genetică (factorii ereditari din familie);
- Traumatisme antecedente și malformații congenitale ale structurii antepiciorului;
- Anumite tipuri constituționale ale piciorului, asociate cu tulburări de statică (piciorul plat);
- Pantofi înguști, cu tocuri și incomozi – care cauzează durere și agravează afecțiunea montului;
- Femeile au o prevalență majoritară a cazurilor, datorate laxității ligamentare și fondului hormonal;
- Obezitatea și bolile inflamatorii care destabilizează piciorul.
Care sunt simptomele pentru hallux valgus (monturi)?
Monturile (hallux valgus) prezintă următoarea simptomatologie:
- Deformarea degetului mare, prin apariția unei exostoze (proeminență osoasă a capului I metatarsian);
- Dureri ale exostozei, pe fața internă – la palpare, la efort, în pantofi incomozi și în timpul mersului;
- Dureri ale exostozei în ortostatism prelungit (la menținerea corpului în poziție verticală);
- Dureri ale calozităților montului (îngroșare și întărire a pielii);
- Amorțeli, roșeață, furnicături și tumefacție locală (umflătură);
- Apariția afecțiunii de diformitate numită “deget în ciocan”;
- Contractarea degetului II în “gheară”, cu încălecarea degetului I;
- Deformarea degetelor 2-5, sub presiunea devierii degetului mare;
- Bătături dureroase la nivelul tălpii, la baza degetelor 2-4;
- Complicații cu luxații ale articulației metatarsofalangiene;
- Pierderea mobilității articulațiilor interfalangiene;
- Tulburări statice asociate ale antepiciorului (piciorul plat).
Stadii și clasificare hallux valgus (deformarea degetului mare prin monturi)
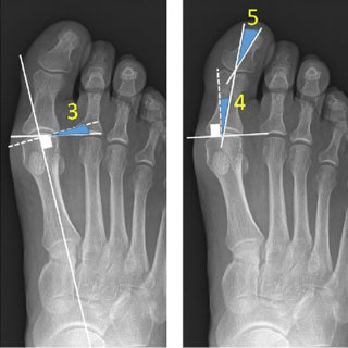
Deformările degetelor cauzate de hallux valgus sunt clasificate pe trei stadii – ușoare, moderate și severe, – până în punctul în care devin progresiv fixe, cu pierderea mobilității articulațiilor interfalangiene. Examinarea monturilor se realizează prin examen radiologic, pentru calcularea gradului exact de deviere a halucelui față de metatarsianul I.
Tratament pentru hallux valgus (monturi)
Opțiunile de tratament pentru hallux valgus (monturi) sunt individualizate pe cazul fiecărui pacient și de evoluția afecțiunii. În stadiile ușoare, se abordează măsurile conservative (nechirurgicale) de tratament, reprezentate prin ședințe de fizioterapie, susținători plantari și orteze de corecție. Obiectivul tratamentului este controlul (reducerea) durerii, iar în acest scop, pacientul va purta și pantofi comozi, corespunzători.
Se va administra un tratament medicamentos cu antiinflamatoare, pentru ameliorarea simptomatologiei.

Chirurgia antepiciorului, hallux valgus (monturi)
Tratamentul chirurgical al antepiciorului pentru hallux valgus (monturi) este recomandat în situația în care metodele tratamentului conservator, cu fizioterapie consecventă și purtarea ortezelor de corecție, nu au dus la ameliorarea simptomelor prin scăderea durerii. Chirurgia monturilor este recomandată când durerea este constantă și afectează bunul mers al vieții de zi cu zi al pacientului, și niciodată din motive pur cosmetice.
Fiecare stadiu – ușor, moderat sau sever – este tratat în mod individualizat. Stadiul formei ușoare a montului, care este de dimensiuni mici, se tratează chirurgical prin remodelarea metatarsianului 1. Când montul crește în dimensiuni și doare în ortostatism prelungit (la menținerea corpului în poziție verticală) și chiar în repaus, a ajuns în stadiul formei moderate.
În forma severă a ultimului stadiu al afecțiunii hallux valgus, deformările se extind la nivelul întregului antepicior. Pacientul resimte dureri constante, completate de apariția calozităților montului (îngroșarea și întărirea pielii) și a defectelor degetelor laterale (deget în ciocan). Articulațiile interfalangiene și metatarsofalangiene devin tot mai rigide până la imobilitate și nicio încălțăminte nu mai este potrivită.
Odată cu manifestarea imobilității articulațiilor interfalangiene ale degetelor laterale 2-5, chirurgia antepiciorului pe hallux valgus (monturi) va presupune remodelarea capului metatarsian 1 prin rezecție corelată cu alte rezecții de realiniere față de axul medial a metatarsienelor, numite osteotomii. Obiectivul este refacerea structurii armonizate a antepiciorului. Corecția se realizează atat prin operație deschisă, clasică, cat si minim invaziv.
Recuperarea postoperatorie
Timpul de recuperare postoperatorie presupune o internare de 2 zile și depinde de starea generală de sănătate a pacientului și de gradul de complexitate al intervenției chirurgicale. Vor fi administrate antibiotice și anticoagulante, iar pentru controlul durerii, pacientului îi va fi prescris un tratament medicamentos cu analgezice și antiinflamatoare. Local se va aplica gheață, la indicațiile medicale.
Mobilizarea antepiciorului va fi parțială sau totală, iar revenirea la activitățile sociale și profesionale se poate realiza după 2-4 săptămâni, în funcție de profilul muncii prestate și de ritmul recuperării. În toată perioada de recuperare postoperatorie, pacientul va purta în primele săptămâni pantofi speciali, care susțin sprijinul total al piciorului pe călcâi, preluând din presiunea zonei afectate.
Consultul ortopedic este recomandat la primele semne de mont (hallux valgus), în special la apariția durerii.

