
Necroza avasculară a capului femural
Necroza avasculară a capului femural este o afecțiune ortopedică severă, în care alimentarea cu sânge a osului este întreruptă, ducând la moartea celulelor osoase și colapsul capului femural.
Definiție și mecanism:
NAV este o afecțiune caracterizată prin moartea celulelor osoase ca urmare a întreruperii circulației sangvine către capul femural. Ischemia duce la necroză osoasă, urmată frecvent de colapsul segmentului afectat.
Semne și simptome:
În stadiile incipiente este asimptomatică. Ulterior apare durerea, de obicei în zona inghinală, dar poate iradia către fesă, genunchi sau trohanterul mare, însoțită de limitarea mobilității șoldului.
Diagnostic:
Radiografia evidențiază modificări precum lucență, scleroză subcondrală, semnul de semilună și aplatizarea capului femural în stadii avansate. Investigația de elecție este RMN-ul, mai ales când radiografiile sunt normale, dar simptomatologia este sugestivă.
Etiologie:
NAV poate fi:
- Traumatică – prin întreruperea mecanică a vascularizației, asociată cu luxații, subluxații sau fracturi ale colului femural.
- Atraumatică – cea mai frecventă formă, asociată cu:
- Corticosteroizi (utilizare excesivă)
- Abuz de alcool
- Coagulopatii, tromboze, embolii grase
- Chimioterapie, radioterapie
- Boli metabolice și sistemice (ciroză, lupus, gută, boala Gaucher, anemie falciformă etc.)
- Fumat, sarcină, boală de decompresie
NAV și COVID-19:
Există cazuri raportate de NAV apărute după COVID-19, sugerând o posibilă legătură cu tratamentele corticosteroidice administrate în această boală.
Prognostic:
În lipsa tratamentului, NAV evoluează frecvent către colapsul osos:
- Aproximativ 67% dintre șoldurile asimptomatice vor progresa spre colaps.
- Peste 85% dintre șoldurile simptomatice vor suferi colaps subcondral
Diagnostic diferențial:
Pentru NAV, trebuie luate în considerare următoarele afecțiuni cu prezentare clinică similară:
- Fractura colului femural
- Fractura de stres a colului femural
- Leziune inghinală
- Luxație de șold
- Fractură de șold
- Tendinită sau bursită de șold
Investigații imagistice:
🔹 Rezonanța magnetică (IRM):
- Metoda de elecție pentru diagnosticarea NAV, mai ales în stadii incipiente.
- Este cea mai sensibilă și specifică metodă.
- Poate detecta modificări la doar 5 zile după ischemie.


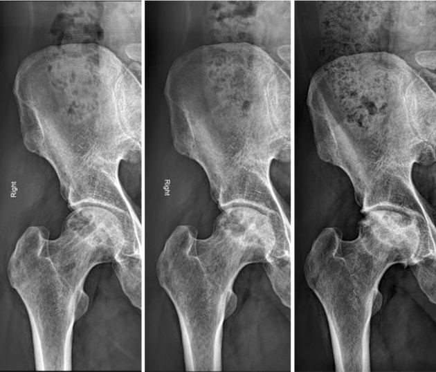
🔹 Radiografii simple:
- Se efectuează în incidențe anteroposterioare și „broască” (frog-leg) pentru ambele șolduri.
- NAV este adesea bilaterală (>60%), deci se investighează și șoldul aparent sănătos.
- Modificări radiologice:
- Timpurii: lucență (transparență osoasă), scleroză subcondrală
- Progresive: colaps subcondral (semnul „semilunii”), turtirea capului femural
- Tardive: îngustarea spațiului articular – stadiul final
Stadializare:
🔸 Clasificarea Ficat și Arlet (1960–1970):
- Stadiul I: Radiografii normale
- Stadiul II: Chisturi, scleroză
- Stadiul III: Colaps subcondral, turtirea capului femural
- Stadiul IV: Îngustarea spațiului articular
Limitare: Nu diferențiază clar fazele colapsului și nu măsoară dimensiunea/extensia leziunii.
🔸 Clasificarea Steinberg (mai detaliată):
- Stadiul I: Radiografii normale; IRM/scintigrafie anormală
- Stadiul II: Lucență sau scleroză osoasă
- Stadiul III: Colaps subcondral, fără turtirea capului
- Stadiul IV: Turtirea capului femural, dar spațiu articular păstrat
- Stadiul V: Îngustarea spațiului articular și/sau modificări acetabulare
- Stadiul VI: Modificări degenerative avansate
Fiecare stadiu (I–IV) este împărțit după gradul de afectare a capului femural:
- A: <15%
- B: 15–30%
- C: >30%
Tratamentul necrozei avasculare (NAV) a capului femural
Faza acută și recuperare
- Tratamentul nechirurgical în NAV simptomatică are rezultate slabe.
- Limitarea sprijinului pe membrul afectat (baston/cârje) nu oprește progresia bolii, ci doar ameliorează simptomele.
- Fizioterapia este simptomatică, fără efect asupra progresiei bolii.
Complicații și probleme asociate
- Consumul de alcool: Se recomandă intervenție psihosocială (consiliere, servicii sociale, sprijin comunitar).
- Terapie cu corticosteroizi: Se indică screening pentru osteoporoză.
Tratament chirurgical
Se împarte în două categorii:
- Măsuri profilactice – menite să încetinească progresia bolii.
- Proceduri reconstructive – după colapsul capului femural.
Măsuri profilactice
🔹 Decompresia centrală (core decompression):
- Scoaterea „nucleelor” osoase necrotice → stimulează regenerarea osoasă.
- Adesea asociată cu grefare osoasă:
- Autogrefă spongioasă sau alogrefă structurală pentru susținere mecanică și vindecare.
- Augmentare biologică (eficientă doar înainte de colapsul subcondral – stadiul III Steinberg):
- Matrice osoasă demineralizată
- Proteine morfogenetice osoase
- Stimulare electrică/magnetică

📌 Rezultate:
- Eficientă în stadii incipiente (stadiul I Ficat & Arlet)
- Rezultate modeste în stadiul II (doar ~50% îmbunătățire)
- Grefele fibulare vascularizate: promițătoare în stadii avansate, dar cu morbiditate crescută
- Stimularea electrică simplă: rezultate slabe
- Câmpurile electromagnetice pulsatile: promițătoare în stadii timpurii, dar încă neconcludente
- Grefele plasate strategic (colul/capul femural) au rezultate mai bune decât cele plasate pe traiectul de decompresie
🔹 Osteotomiile
- Reorientează osul necrotic în afara zonei de sprijin articular.
- Pot amâna artroplastia.
- Indicate la:
- Leziuni mici
- Fără colaps sau cu colaps minimal
- Fără cauză continuă a NAV
- Limitări: tehnică dificilă, pseudoartroză, complică viitoarea artroplastie
🔹 Artroscopia
- Utilă pentru stadializare precisă și identificarea leziunilor condrale.
- Poate ameliora temporar sinovita.
- Tehnici experimentale: reducerea artroscopică a colapsului capului femural.
resorbție osoasă al organismului, mai degrabă decât infarctul propriu-zis, determină colapsul capului femural și morbiditatea asociată.
Proceduri reconstructive în necroza avasculară (NAV) a șoldului
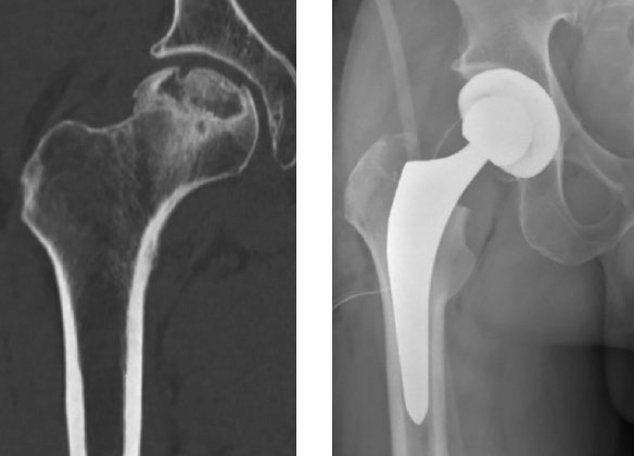
Artroplastie protetică
- Majoritatea pacienților cu colaps femural necesită în cele din urmă o intervenție reconstructivă, cel mai frecvent o formă de artroplastie.
- Artroplastia totală de șold este cea mai eficientă metodă de ameliorare a durerii în NAV avansată.
- La pacienții tineri, se preferă metode care preservă osul și întârzie protezarea totală.

Tipuri de artroplastie
🔹 Artroplastia de tip resurfacing (resurfacing de șold):
- Conservă osul – se „reîmbracă” capul femural și acetabulul cu componente metalice.
- Evită uzura de polietilenă.
- Limitări:
- Contraindicată dacă >1/3 din capul femural este necrozat.
- Risc de fractură de col femural (~1%).
- Controverse privind eliberarea ionilor de metal.
- Nu compromite o eventuală artroplastie totală viitoare.
- Rezultate promițătoare în variantele anatomice focale de resurfacing (ex: la 5 pacienți, 7 șolduri, urmărire >2 ani).
🔹 Artroplastia bipolară:
- Scop: reducerea stresului asupra cartilajului acetabular.
- Probleme:
- Durere inghinală persistentă.
- Uzură crescută a polietilenei.
- Slăbirea prematură a implantului.
🔹 Artroplastia de rezecție:
- Indicație limitată: pacienți foarte tineri sau sever debilitați, cu risc crescut de infecție (ex: dializă).
🔹 Artroplastia totală de șold:
- Cel mai utilizat și cu cele mai bune rezultate în NAV avansată.
- Rezultate mai modeste decât în coxartroză.
- Protezele necimentate moderne par să aibă durabilitate crescută.
- Contraindică activitățile cu impact (ex: alergat), care pot scurta durata de viață a implantului.

Prevenție
- Evitarea alcoolului și administrarea minim necesară de corticosteroizi sunt măsuri-cheie.
- Renunțarea la fumat – reduce riscul NAV nontraumatice.
- Statinele pot reduce riscul NAV la pacienții tratați cu corticosteroizi.
- Stimularea electrică cutanată (cuplaj capacitiv): posibil efect de modificare a bolii (neconfirmat pe termen lung).
- Terapia anticoagulantă (ex: enoxaparină) – încetinește progresia NAV în stadii timpurii, susținând teoria trombofilică a etiologiei.
Alendronatul (antiresorbtiv) poate preveni colapsul în NAV incipientă – întărește ideea că resorbția osoasă contribuie decisiv la colapsul capului femural.
